高通量、基于机器学习的NAFLD脂肪变、炎症、气球样变和纤维化量化分析
背景和目标:
- 肝活检是非酒精性脂肪性肝病(NAFLD)分期和分级的参考标准,但组织学评分系统是半定量的,观察者之间和观察者内部存在显著差异。
- 我们使用机器学习开发了全自动软件,用于量化NAFLD患者活检标本中的脂肪变性、炎症、气球和纤维化,并在单独的患者组中验证了该技术。
方法:
- 我们收集了246名经活检证实为NAFLD的连续患者的数据,并于2010年1月至2016年12月在伦敦进行了随访。
- 使用前100名患者的活检样本推导算法,并使用以下146名患者的活组织样本验证算法。
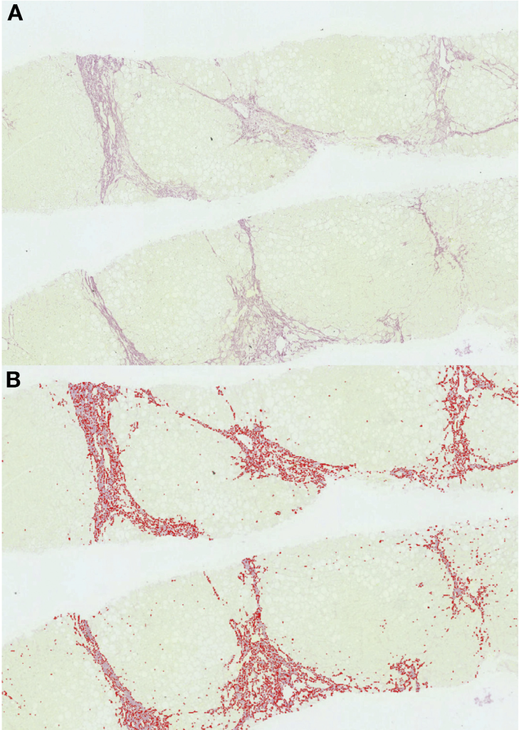
- 病理学家使用非酒精性脂肪性肝炎临床研究网络标准对活检标本进行独立评分,并进行数字化。
- 2名肝胆组织病理学家在活检标本上标注了脂肪变性、炎症、气球和纤维化区域,以便于机器学习。
- 通过算法分析衍生和验证集的活检图像,计算脂肪、炎症、气球和纤维化的百分比以及胶原比例面积,并与病理学家的手工注释和传统评分系统的结果进行比较。
结果:
- 在衍生组中,人工注释和软件的结果显示脂肪变性的组间相关系数(ICC)为0.97(95%CI,0.95-0.99;P<0.001);炎症的ICC为0.96(95%CI,0.9–0.98;P<0.001);膨胀的ICC为0.94(95%CI,0.87–0.98;P<0.001);纤维化的ICC为0.92(95%CI,0.88–0.96;P[.001)
- 验证队列中证实了衍生组的脂肪、炎症、气球和胶原比例面积的百分比。该软件确定了NAFLD的组织学特征,观察者之间和观察者之间的一致性水平在0.95到0.99之间;该值高于半定量评分系统,范围为0.58至0.88。在成对肝活检标本的亚组中,定量分析比NAFLD CRN 评分系统在检测差异方面更为敏感。


Forlano R. High-Throughput, Machine Learning-Based Quantification of Steatosis, Inflammation, Ballooning, and Fibrosis in Biopsies From Patients With Nonalcoholic Fatty Liver Disease. Clin Gastroenterol Hepatol.
